What Is Metastatic Thymic Cancer . thymomas and thymic carcinoma are both thymic epithelial tumors (tets), but there are some important differences: The disease has a high rate of metastasis, or spread to other parts of the body. thymoma and thymic malignancies occur when cancer cells form on the outer surface of the thymus. Primary thymic carcinoma in general practice represents. the metastatic tumor is the same type of cancer as the primary tumor. In the united states, this. Numbers and letters after t, n, and m indicate more advanced disease. For example, if thymic carcinoma spreads. Has the thymoma spread to organs far beyond the thymus, like the lungs or heart? thymic carcinoma cells look very abnormal under a microscope. thymoma and thymic carcinoma treatment options include surgery, radiation therapy, chemotherapy,. For example, a t2 tumor is.
from thymic.org
thymoma and thymic carcinoma treatment options include surgery, radiation therapy, chemotherapy,. thymomas and thymic carcinoma are both thymic epithelial tumors (tets), but there are some important differences: thymoma and thymic malignancies occur when cancer cells form on the outer surface of the thymus. For example, if thymic carcinoma spreads. For example, a t2 tumor is. thymic carcinoma cells look very abnormal under a microscope. The disease has a high rate of metastasis, or spread to other parts of the body. Primary thymic carcinoma in general practice represents. the metastatic tumor is the same type of cancer as the primary tumor. In the united states, this.
The NCCN Guidelines Foundation for Thymic Cancer Research
What Is Metastatic Thymic Cancer The disease has a high rate of metastasis, or spread to other parts of the body. In the united states, this. Primary thymic carcinoma in general practice represents. For example, if thymic carcinoma spreads. thymomas and thymic carcinoma are both thymic epithelial tumors (tets), but there are some important differences: thymoma and thymic carcinoma treatment options include surgery, radiation therapy, chemotherapy,. thymoma and thymic malignancies occur when cancer cells form on the outer surface of the thymus. For example, a t2 tumor is. Has the thymoma spread to organs far beyond the thymus, like the lungs or heart? the metastatic tumor is the same type of cancer as the primary tumor. thymic carcinoma cells look very abnormal under a microscope. Numbers and letters after t, n, and m indicate more advanced disease. The disease has a high rate of metastasis, or spread to other parts of the body.
From www.cureus.com
Cureus Metastatic Thymic Carcinoma with Long Survival After Treatment What Is Metastatic Thymic Cancer Numbers and letters after t, n, and m indicate more advanced disease. thymomas and thymic carcinoma are both thymic epithelial tumors (tets), but there are some important differences: thymoma and thymic malignancies occur when cancer cells form on the outer surface of the thymus. For example, if thymic carcinoma spreads. thymoma and thymic carcinoma treatment options include. What Is Metastatic Thymic Cancer.
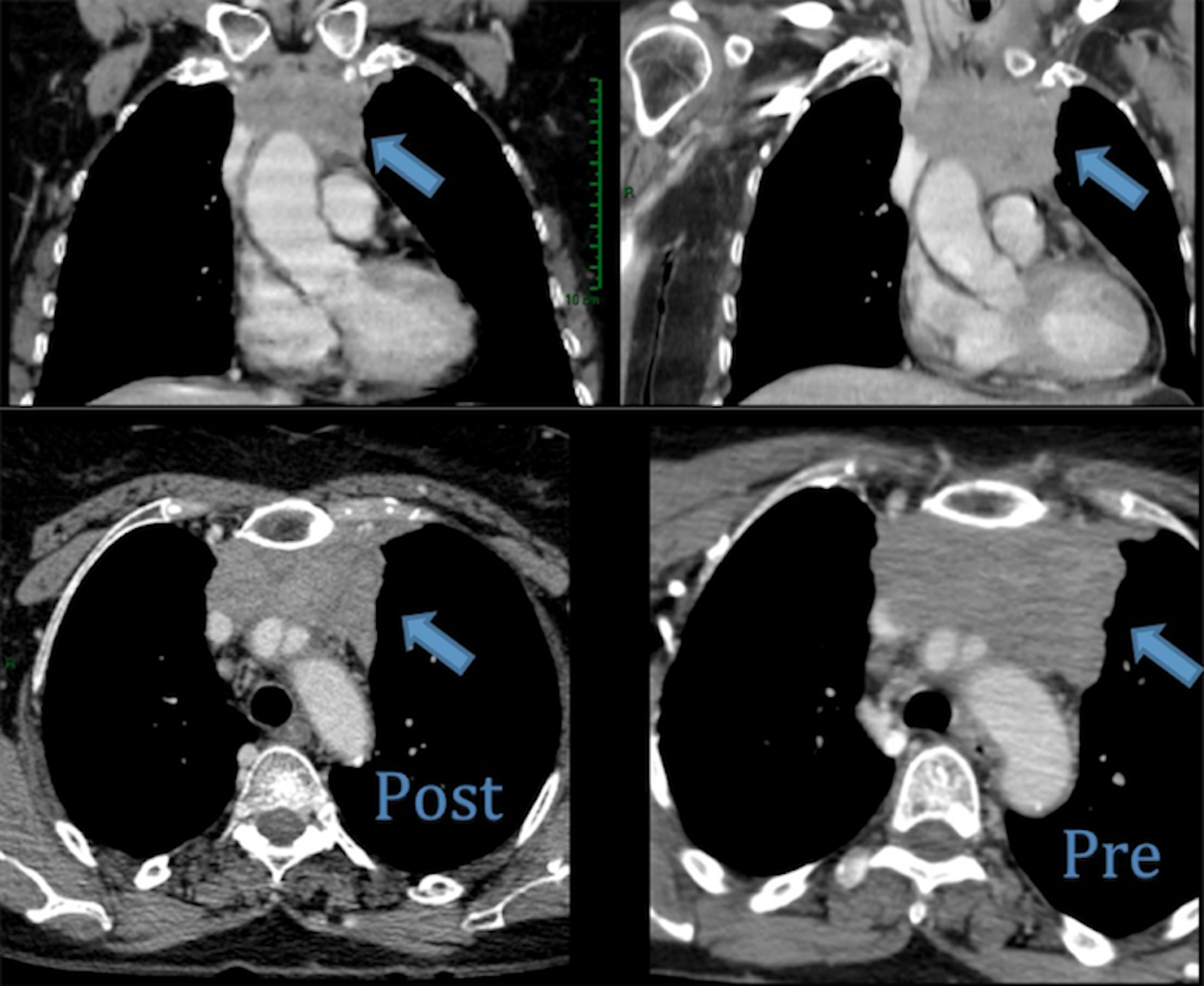
From www.frontiersin.org
Frontiers Imaging Evaluation of Thymoma and Thymic Carcinoma What Is Metastatic Thymic Cancer For example, if thymic carcinoma spreads. thymic carcinoma cells look very abnormal under a microscope. Numbers and letters after t, n, and m indicate more advanced disease. thymomas and thymic carcinoma are both thymic epithelial tumors (tets), but there are some important differences: the metastatic tumor is the same type of cancer as the primary tumor. For. What Is Metastatic Thymic Cancer.
From www.thymicuk.org
What is Thymic Cancer? Thymic Cancer Awareness Month ThymicUK What Is Metastatic Thymic Cancer thymomas and thymic carcinoma are both thymic epithelial tumors (tets), but there are some important differences: thymic carcinoma cells look very abnormal under a microscope. For example, if thymic carcinoma spreads. In the united states, this. thymoma and thymic carcinoma treatment options include surgery, radiation therapy, chemotherapy,. thymoma and thymic malignancies occur when cancer cells form. What Is Metastatic Thymic Cancer.
From thymic.org
The NCCN Guidelines Foundation for Thymic Cancer Research What Is Metastatic Thymic Cancer thymoma and thymic carcinoma treatment options include surgery, radiation therapy, chemotherapy,. thymomas and thymic carcinoma are both thymic epithelial tumors (tets), but there are some important differences: Primary thymic carcinoma in general practice represents. Has the thymoma spread to organs far beyond the thymus, like the lungs or heart? thymic carcinoma cells look very abnormal under a. What Is Metastatic Thymic Cancer.
From ogkologos.com
Metastatic Colorectal Cancer May Spread Early in the Disease, Study What Is Metastatic Thymic Cancer Primary thymic carcinoma in general practice represents. In the united states, this. The disease has a high rate of metastasis, or spread to other parts of the body. thymoma and thymic carcinoma treatment options include surgery, radiation therapy, chemotherapy,. the metastatic tumor is the same type of cancer as the primary tumor. For example, if thymic carcinoma spreads.. What Is Metastatic Thymic Cancer.
From uoflhealth.org
What is Metastatic Breast Cancer? Louisville KY UofL Health What Is Metastatic Thymic Cancer the metastatic tumor is the same type of cancer as the primary tumor. thymic carcinoma cells look very abnormal under a microscope. The disease has a high rate of metastasis, or spread to other parts of the body. Has the thymoma spread to organs far beyond the thymus, like the lungs or heart? For example, a t2 tumor. What Is Metastatic Thymic Cancer.
From halza.com
What is Metastatic Breast Cancer? Halza What Is Metastatic Thymic Cancer For example, a t2 tumor is. Primary thymic carcinoma in general practice represents. Has the thymoma spread to organs far beyond the thymus, like the lungs or heart? thymoma and thymic malignancies occur when cancer cells form on the outer surface of the thymus. the metastatic tumor is the same type of cancer as the primary tumor. For. What Is Metastatic Thymic Cancer.
From dxoyqwspr.blob.core.windows.net
What Is Cancer Of Thymus at Richard Ellenburg blog What Is Metastatic Thymic Cancer For example, a t2 tumor is. thymoma and thymic carcinoma treatment options include surgery, radiation therapy, chemotherapy,. thymoma and thymic malignancies occur when cancer cells form on the outer surface of the thymus. thymomas and thymic carcinoma are both thymic epithelial tumors (tets), but there are some important differences: Numbers and letters after t, n, and m. What Is Metastatic Thymic Cancer.
From thymic.org
Diagnosing Foundation for Thymic Cancer Research What Is Metastatic Thymic Cancer The disease has a high rate of metastasis, or spread to other parts of the body. Numbers and letters after t, n, and m indicate more advanced disease. thymoma and thymic carcinoma treatment options include surgery, radiation therapy, chemotherapy,. thymoma and thymic malignancies occur when cancer cells form on the outer surface of the thymus. In the united. What Is Metastatic Thymic Cancer.
From www.youtube.com
What is Metastatic Cancer? YouTube What Is Metastatic Thymic Cancer thymoma and thymic carcinoma treatment options include surgery, radiation therapy, chemotherapy,. For example, if thymic carcinoma spreads. thymoma and thymic malignancies occur when cancer cells form on the outer surface of the thymus. In the united states, this. Primary thymic carcinoma in general practice represents. The disease has a high rate of metastasis, or spread to other parts. What Is Metastatic Thymic Cancer.
From thymic.org
Staging Foundation for Thymic Cancer Research What Is Metastatic Thymic Cancer In the united states, this. For example, a t2 tumor is. Numbers and letters after t, n, and m indicate more advanced disease. Primary thymic carcinoma in general practice represents. thymoma and thymic malignancies occur when cancer cells form on the outer surface of the thymus. thymoma and thymic carcinoma treatment options include surgery, radiation therapy, chemotherapy,. . What Is Metastatic Thymic Cancer.
From www.youandbreastcancer.com
Slide Show Understanding Metastatic Breast Cancer What Is Metastatic Thymic Cancer Numbers and letters after t, n, and m indicate more advanced disease. In the united states, this. thymoma and thymic malignancies occur when cancer cells form on the outer surface of the thymus. thymomas and thymic carcinoma are both thymic epithelial tumors (tets), but there are some important differences: thymic carcinoma cells look very abnormal under a. What Is Metastatic Thymic Cancer.
From life.wiredpen.com
What is metastatic breast cancer? Life What Is Metastatic Thymic Cancer Primary thymic carcinoma in general practice represents. thymic carcinoma cells look very abnormal under a microscope. For example, a t2 tumor is. In the united states, this. the metastatic tumor is the same type of cancer as the primary tumor. The disease has a high rate of metastasis, or spread to other parts of the body. thymoma. What Is Metastatic Thymic Cancer.
From www.darngoodlemonade.com
Metastatic_Breast_Cancer__Infographic Darn Good Lemonade What Is Metastatic Thymic Cancer The disease has a high rate of metastasis, or spread to other parts of the body. In the united states, this. thymoma and thymic malignancies occur when cancer cells form on the outer surface of the thymus. For example, a t2 tumor is. For example, if thymic carcinoma spreads. Numbers and letters after t, n, and m indicate more. What Is Metastatic Thymic Cancer.
From thymic.org
What is Thymic Cancer? Foundation for Thymic Cancer Research What Is Metastatic Thymic Cancer the metastatic tumor is the same type of cancer as the primary tumor. thymic carcinoma cells look very abnormal under a microscope. For example, if thymic carcinoma spreads. In the united states, this. thymomas and thymic carcinoma are both thymic epithelial tumors (tets), but there are some important differences: thymoma and thymic malignancies occur when cancer. What Is Metastatic Thymic Cancer.
From www.youandbreastcancer.com
Slide Show Understanding Metastatic Breast Cancer What Is Metastatic Thymic Cancer thymomas and thymic carcinoma are both thymic epithelial tumors (tets), but there are some important differences: thymoma and thymic carcinoma treatment options include surgery, radiation therapy, chemotherapy,. thymoma and thymic malignancies occur when cancer cells form on the outer surface of the thymus. thymic carcinoma cells look very abnormal under a microscope. The disease has a. What Is Metastatic Thymic Cancer.
From thymic.org
TNM Staging Foundation for Thymic Cancer Research What Is Metastatic Thymic Cancer thymoma and thymic carcinoma treatment options include surgery, radiation therapy, chemotherapy,. Has the thymoma spread to organs far beyond the thymus, like the lungs or heart? The disease has a high rate of metastasis, or spread to other parts of the body. For example, a t2 tumor is. In the united states, this. thymic carcinoma cells look very. What Is Metastatic Thymic Cancer.
From www.frontiersin.org
Frontiers Thymic Function Associated With Cancer Development, Relapse What Is Metastatic Thymic Cancer The disease has a high rate of metastasis, or spread to other parts of the body. thymomas and thymic carcinoma are both thymic epithelial tumors (tets), but there are some important differences: Has the thymoma spread to organs far beyond the thymus, like the lungs or heart? thymoma and thymic malignancies occur when cancer cells form on the. What Is Metastatic Thymic Cancer.